Cabinet du Docteur Ali EL HUSSEINI
CHIRURGIEN-DENTISTE
58 Bis, rue Jules Ferry, 10000 DAKAR
+221 77 459 28 84

Blog - Page 4

Nettoyage des brackets avec brossette interdentaire

Nettoyage des brackets avec brossette interdentaire

Maxillaire all-on-6 et comblement de sinus

Maxillaire all-on-6 et comblement de sinus

L'hygiène en orthodontie

L'hygiène en orthodontie

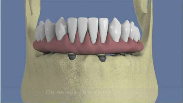
Mandibule complète et traitement implantaire pour un bridge fixe scellé

Mandibule complète et traitement implantaire pour un bridge fixe scellé

Eclaircissement ambulatoire

Eclaircissement ambulatoire

Comblement de sinus par voie latérale (sinus lift) avec implantation différée

Comblement de sinus par voie latérale (sinus lift) avec implantation différée

Affichage des articles 19-24 sur 209